
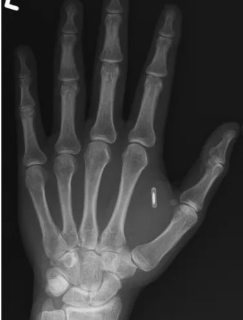
Технологічні експерименти нерідко стають частиною перформансів, особливо коли йдеться про сучасну магію. Проте інколи інновації можуть обернутися несподіваними труднощами. Саме це сталося з фокусником Цзи Тен Ваном, який імплантував у руку RFID-чіп, але згодом втратив до нього доступ, оскільки забув встановлений пароль.
Чому фокусник вирішив імплантувати RFID-чіп
RFID-технології активно використовуються у сфері смарт-пристроїв, безконтактних систем доступу та цифрової ідентифікації. Для артистів вони створюють додаткові можливості взаємодії з аудиторією, адже дозволяють перетворити звичайний трюк на щось технологічно незвичне.
За інформацією, поширеною Ваном, він встановив імплант для того, щоб під час виступів безконтактно активувати певні функції на смартфонах глядачів. Ідея звучала сучасно та ефектно, однак на практиці виявилася не такою простою.
Основні труднощі полягали в тому, що більшість смартфонів мають вимкнені RFID-зчитувачі за замовчуванням, лише незначна частина пристроїв здатна реагувати на такі імпланти, а використання власного телефону повністю нівелювало магічний ефект, тож задуманий інструмент утратив можливість посилювати шоу.
Як фокусник намагався використовувати імплант і що пішло не так
Після того як первинне призначення імпланта не виправдало очікувань, Ван вирішив перетворити його на цифрове сховище.
Спершу він записав у чіп власну Bitcoin-адресу. За його словами, це здавалося зручним і оригінальним способом миттєво ділитися реквізитами для переказів. Однак ця функція так і не знадобилася — ситуацій, у яких потрібно було використовувати імплантовану адресу, практично не виникало.

Пізніше він вирішив змінити вміст чіпа та розмістив у ньому посилання на мем, опублікований в Imgur. Це рішення було більше жартівливим, ніж практичним, але згодом і цей контент зник з мережі.
Коли артист спробував переписати інформацію втретє, він зіткнувся з несподіваною проблемою — пароль, який він встановив кілька років тому, був повністю забутий.
Забутий пароль: чому імплант неможливо просто розблокувати
Зіткнувшись із блокуванням, фокусник звернувся по допомогу до друзів, які працюють у сфері технологій. За їхніми оцінками, імплантований RFID-чіп є дуже простим пристроєм, що працює за базовими принципами безпеки.
На відміну від сучасних смартфонів чи захищених сховищ, він не підтримує відновлення пароля, зміну ключів доступу чи дистанційне скидання налаштувань. Якщо пароль втрачено, «обійти» його практично неможливо.